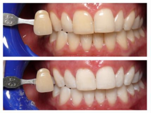
Teeth Whitening – Dangers And Precautions

The bleaching agent used can also cause increased teeth sensitivity. This problem occurs particularly if you have issues such as receding gums and cracked or chipped teeth. Whitening products that contain high concentrations of peroxide further aggravates this danger. To prevent or reduce these risks, you should follow certain suggestions regarding teeth whitening, particularly if you are doing this by yourself. Try wearing the dental tray for a comparatively shorter period. If, for example, the treatment instructions recommend sixty minutes for each application, you can perhaps keep it to thirty minutes.
Generally home bleaching products require several applications. It would be safer to give your teeth a bit of rest from the teeth whitening process and leave a space of at least two to three days before you do the next application. Use the kind of toothpaste that is specifically formulated for sensitive teeth when you brush your teeth. This type of toothpaste contains potassium nitrate which helps relieve discomfort as a result of the sensitivity. Also, you can ask your dentist if he or she can recommend a product or medication that will enable you avoid gum irritation or teeth sensitivity when whitening your teeth at home.
This is why it’s best to do your teeth whitening and bleaching treatment at a reliable dental clinic. The dental professional will examine your teeth thoroughly before carrying out any bleaching procedure. In addition, the teeth whitening dentist will use customized trays which will fit your teeth and mouth accurately. Thus, if you have stains on your teeth, it will be best to consult your general dentist first before purchasing any whitening product or engaging in teeth whitening treatments.